
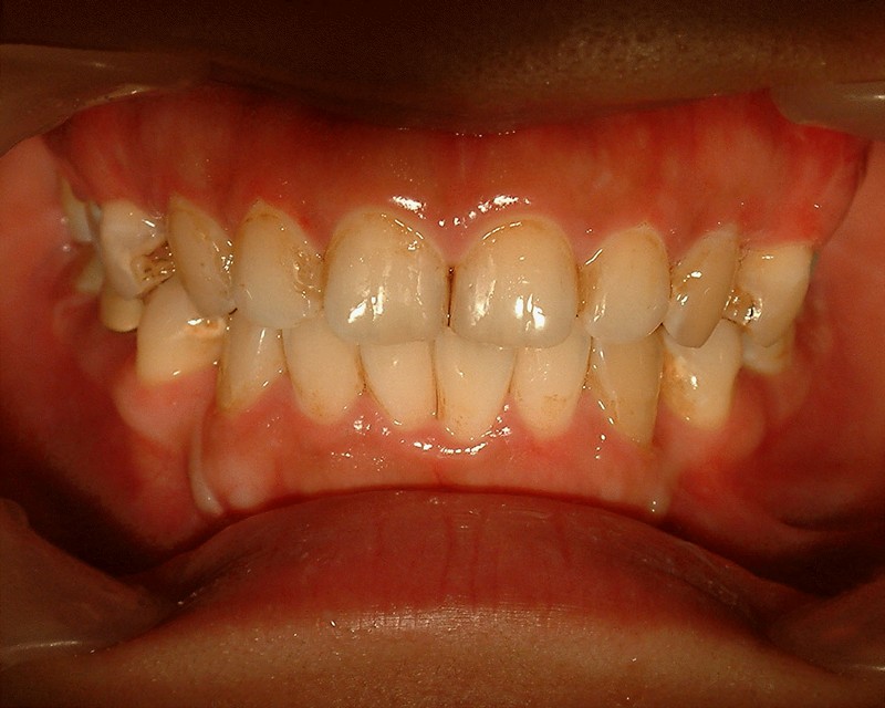
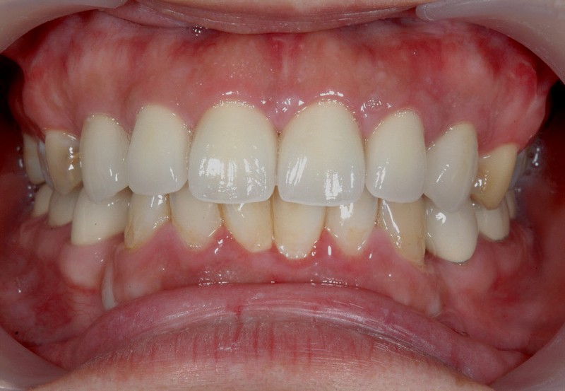
目前可分為「EMAX與Zirconia兩種美白貼片,兼具自然透光與高強度,可按造換著對美白程度的需求來打造客製化亮白且自然的笑容,同時可以重建微笑曲線以及缺損牙齒的修復來達到耐用、舒適,適合前牙全方位美學修復。」

1. EMAX 美白貼片
•材質:採用二氧化鋰玻璃陶瓷(Lithium Disilicate Glass-Ceramic),屬於高強度陶瓷。
•特性:
o透明感好:光線可透過,貼近天然牙齒的光澤和色澤。
o美觀自然:表面光滑,色澤可調,適合要求高美觀的前牙修復。
o韌性高:耐磨耐用,但相對脆,操作需精細。
•適合對象:追求自然透明亮白的外觀、前牙修復或輕微色澤不均者。
2. Zirconia(氧化鋯)美白貼片
•材質:高強度氧化鋯陶瓷(Zirconium Oxide),被稱為「陶瓷中的鋼鐵」。
•特性:
o強度極高:抗裂性好,適合承受咀嚼壓力大的患者。
o不易透光:顏色較飽滿,但自然光澤稍低於 EMAX。
o耐磨耐久:使用壽命長,適合長期修復。
•適合對象:需要耐用、咀嚼力強或期待色澤偏白的患者。
看更多案例