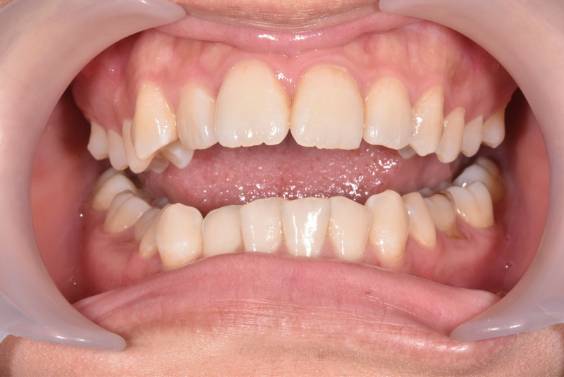
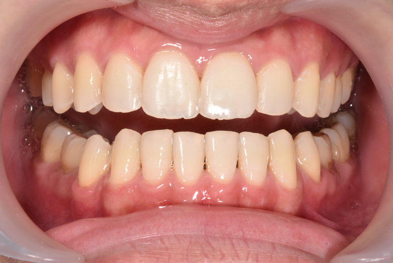
針對曾接受過矯正治療,但因復發、配戴保持器不足或咬合未完全改善的患者,再次進行的矯正療程。透過隱形牙套或固定矯正,來調整牙齒位置、改善咬合與美觀。二次矯正通常療程較短,重點在於精細修正,讓牙齒排列更穩定、笑容更自然。

 



看更多案例