關於林語堂醫師
植牙
正顎手術
削骨手術
矯正
前牙美學
牙齒小百科
案例分享
聯絡我們
關於林語堂醫師
植牙
齒顎矯正
正顎手術
削骨手術
矯正
前牙美學
牙齒小百科
案例分享
聯絡我們
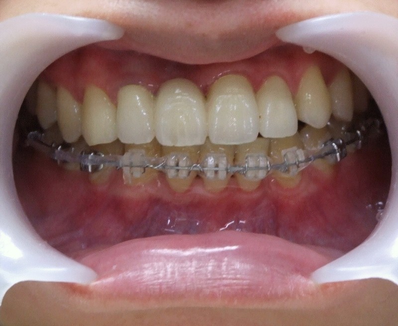
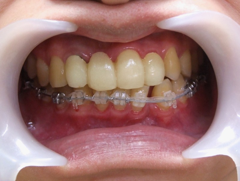
局部矯正
局部矯正針對少數牙齒進行調整,通常以改善前牙微笑美觀,或是為了因為長期缺牙的病患需騰出植牙的空間進行的矯正,其療程短、效果明顯。
看更多案例