數位AI隠形矯正

一種以透明牙套取代傳統牙套的矯正方式,有別傳統方式,首先利用精密的數位口掃機產生3D數位影像,以及口腔電腦斷層數位檔案,一起傳遞至數位矯正器製造商。在醫師的指示及治療計畫產生一系列3D模擬牙齒移動圖形,經由與患者一起討論牙齒排列的最終結果後即開始進行一系列客製化牙套的製做,隨即由患者自行配戴來逐步移動牙齒。它幾乎隱形,配戴舒適,幾乎不感到疼痛,可自行摘戴,方便飲食與清潔,同時有效改善牙齒排列與咬合問題,讓笑容更自然美觀。
看更多案例
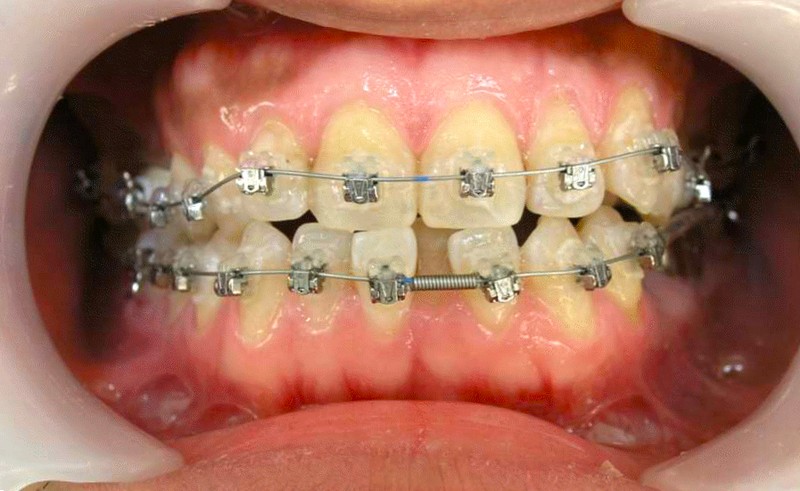
固定矯正

利用金屬或陶瓷矯正器(俗稱牙套)黏附於牙齒表面,並透過金屬矯正器逐步施力,使牙齒移動至理想位置。此方式控制精準,適合各類牙齒不正或複雜咬合問題,療效穩定可靠。

雖需較長治療時間與日常清潔配合,但能有效改善牙齒排列與口腔功能,打造整齊美觀的笑容,缺點為比隱形矯正配戴過程較為不舒適且不美觀,過程中有矯正器或矯正線脫落的風險,刷牙清潔比較繁瑣且蛀牙機率會比較高。
看更多案例