
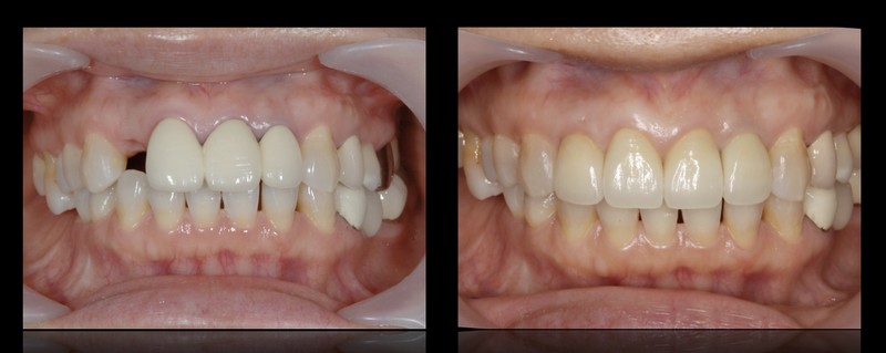
前牙美學植牙是一種結合功能與美觀的植牙方式,特別針對門牙缺失設計。透過精準植體位置規劃與牙齦美學塑形,不僅恢復咀嚼功能,更重現自然牙齒比例與笑線,讓植牙後宛如真牙般自然,但是往往需要配合骨再生術以及牙齦移植術,此療程因需投入較多時間與專業細節,因此費用會相對較高。
看更多案例

前牙美學植牙是一種結合功能與美觀的植牙方式,特別針對門牙缺失設計。透過精準植體位置規劃與牙齦美學塑形,不僅恢復咀嚼功能,更重現自然牙齒比例與笑線,讓植牙後宛如真牙般自然,但是往往需要配合骨再生術以及牙齦移植術,此療程因需投入較多時間與專業細節,因此費用會相對較高。
看更多案例