關於林語堂醫師
植牙
正顎手術
削骨手術
矯正
前牙美學
牙齒小百科
案例分享
聯絡我們
關於林語堂醫師
植牙
齒顎矯正
正顎手術
削骨手術
矯正
前牙美學
牙齒小百科
案例分享
聯絡我們
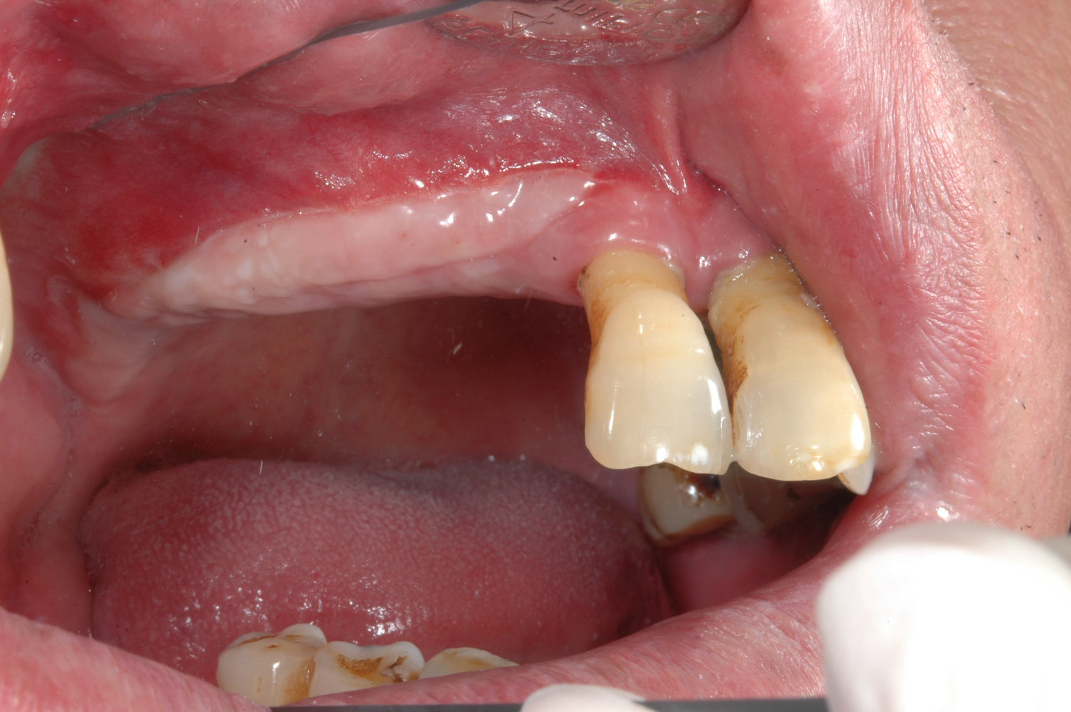
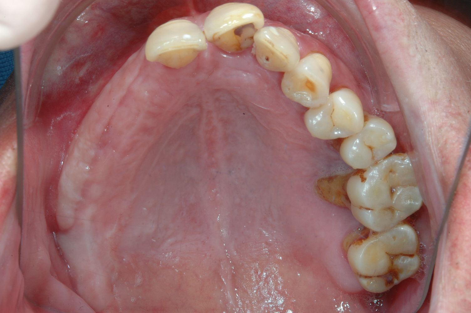
牙齦移植術(補肉)
利用自體牙齦組織移植至牙齦萎縮處或是角質化牙齦不足的地方,恢復牙齦美觀與健康,以利未來植牙提供穩定的牙周環境。
看更多案例