關於林語堂醫師
植牙
正顎手術
削骨手術
矯正
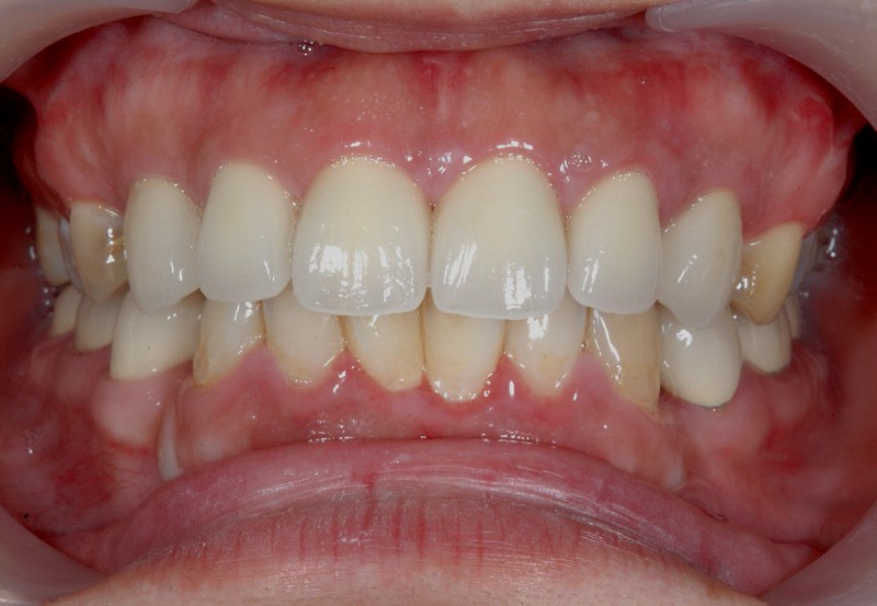
前牙美學
牙齒小百科
案例分享
聯絡我們
關於林語堂醫師
植牙
齒顎矯正
正顎手術
削骨手術
矯正
前牙美學
牙齒小百科
案例分享
聯絡我們
前牙美學
居家美白
冷光美白
美白貼片
牙齦整形術