關於林語堂醫師
植牙
正顎手術
削骨手術
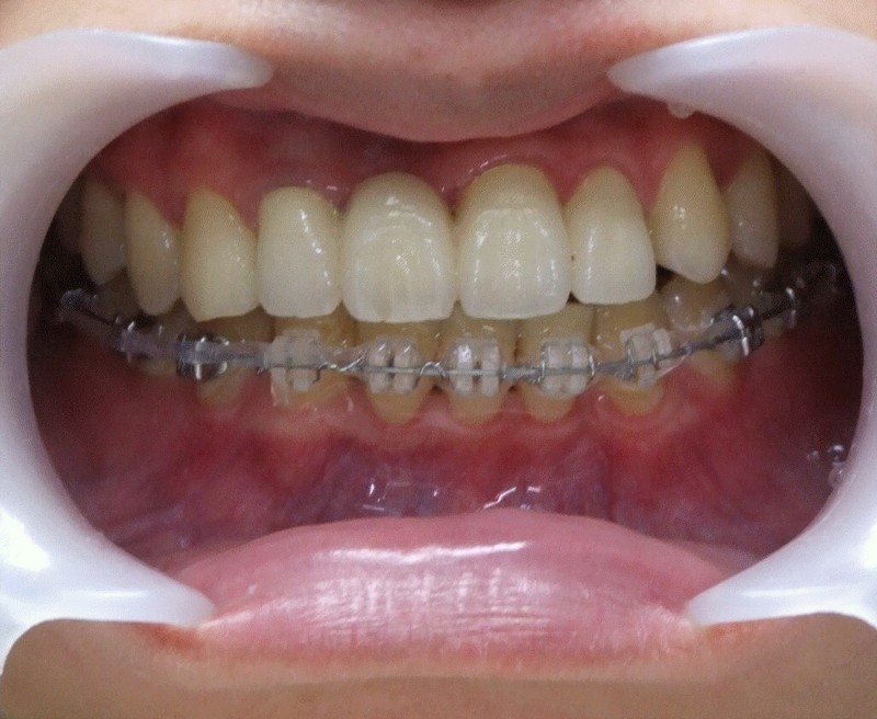
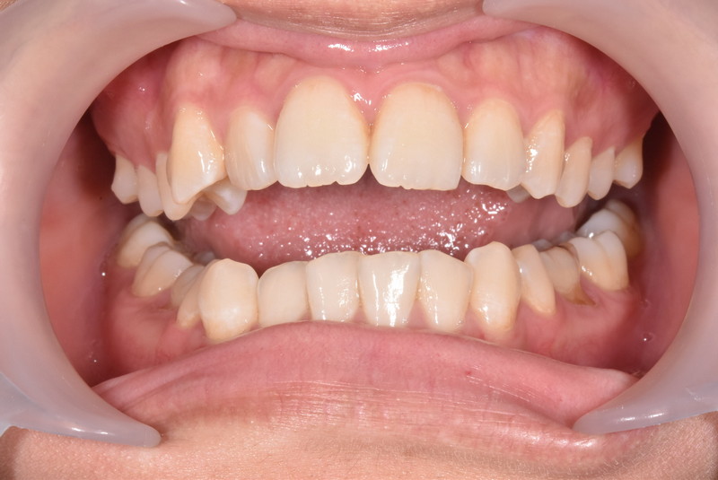
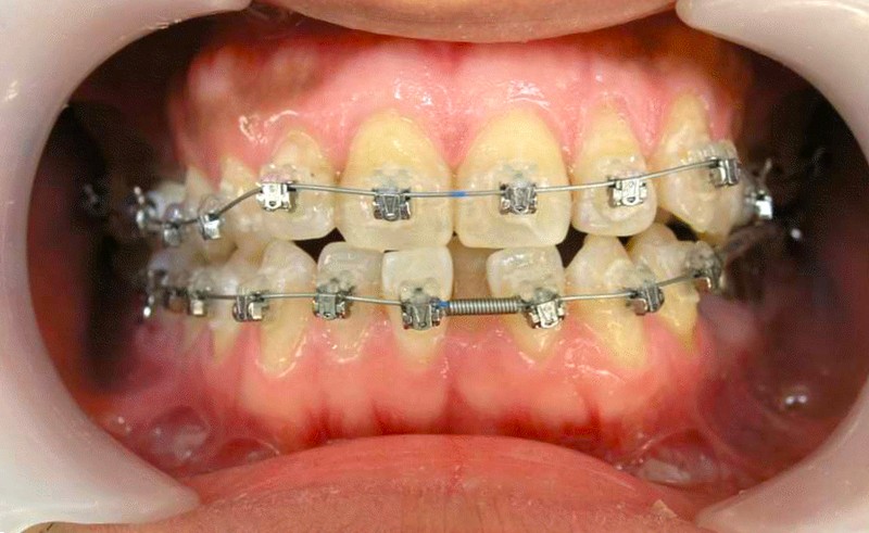
矯正
前牙美學
牙齒小百科
案例分享
聯絡我們
關於林語堂醫師
植牙
齒顎矯正
正顎手術
削骨手術
矯正
前牙美學
牙齒小百科
案例分享
聯絡我們
矯正
數位AI隠形矯正
固定矯正
青少年矯正
局部矯正
二次矯正
齒顎矯正