案例-上顎


醫生透過電腦斷層及全口X光照片評估骨頭狀況決定植入的植體數量、寬度以及深度

當天有臨時假,鎖上並封填

大約3-4的癒合時間,把臨時假牙取下

鎖上正式假牙

完成!
案例二-下顎


醫生透過電腦斷層及全口X光照片評估骨頭狀況決定植入的植體數量、寬度以及深度

大約3-4的癒合時間,把臨時假牙取下並鎖上正式假牙

完成!
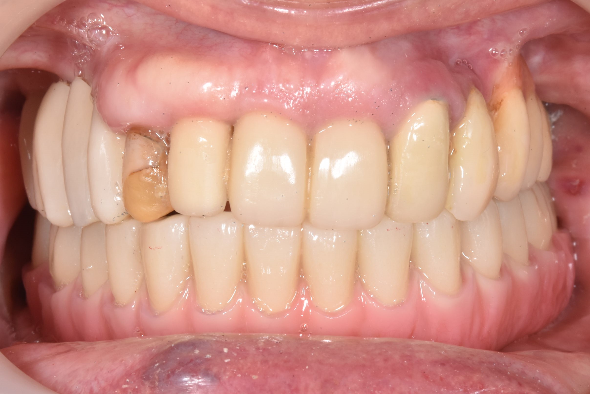
案例-上顎


醫生透過電腦斷層及全口X光照片評估骨頭狀況決定植入的植體數量、寬度以及深度

當天有臨時假,鎖上並封填

大約3-4的癒合時間,把臨時假牙取下

鎖上正式假牙

完成!
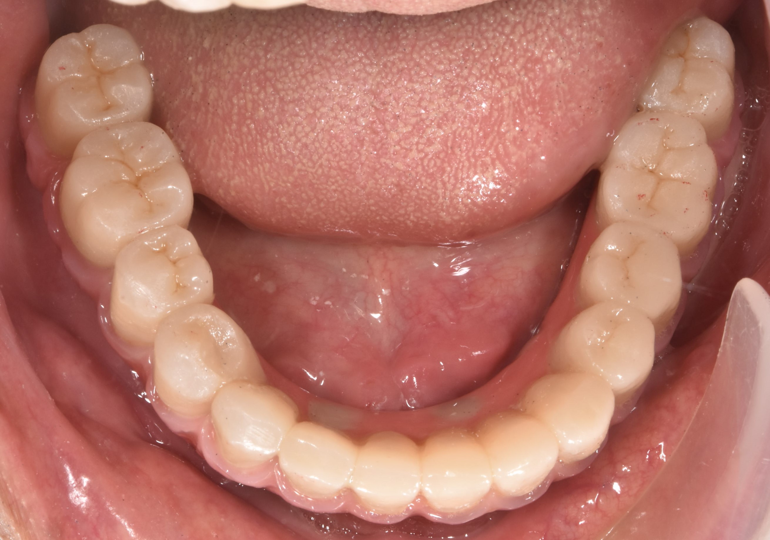
案例二-下顎


醫生透過電腦斷層及全口X光照片評估骨頭狀況決定植入的植體數量、寬度以及深度

大約3-4的癒合時間,把臨時假牙取下並鎖上正式假牙

完成!